بعد وفاة رجل في الصين بسببه.. ما هو فيروس هانتا Hantavirus؟
توفى أحد الأشخاص في الصين متأثرًا بإصابته فيروس هانتا Hantavirus.
ووفقًا لصحيفة جلوبال تايمز الصينية، إن الرجل من مقاطعة يوننان، توفى أثناء عودته من العمل في حافلة أمس الإثنين.
وأظهرت التحاليل إصابته بفيروس هانتا، وتم إجراء اختبار لـ 32 شخصًا آخر في الحافلة لمعرفة عما إذا كانت انتقلت العدوى إلى أحدهم.
ما هو فيروس هانتا Hantavirus؟
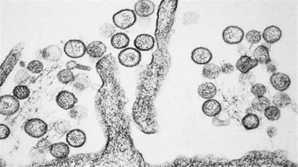
وفقًا لمراكز مكافحة الأمراض والوقاية منها (CDC)، فإن فيروس هانتا Hantavirus هي مجموعة من الفيروسات التي تنتشر بشكل رئيسي عن طريق القوارض ويمكن أن تسبب أمراضًا متنوعة لدى الناس.
ويمكن أن يسبب الـ Hantavirus متلازمة متلازمة الهنتافيروس الرئوية (HPS)، وأعراضها تشبه الأنفلونزا مثل الحمى، السعال، ألم عضلي، صداع والخمول وضيق التنفس، الذي يتردى بسرعة ليصبح فشل حاد في الجهاز التنفسي.
ويمكن أيضًا أن يؤثر على الكُلى بجانب الأعراض السابق فيما يُعرف باسم الحمى النزفية مع المتلازمة الكلوية (HFRS).
ولا ينتقل المرض عن طريق الهواء، وهو ينتشر عن طريق ملامسة فضلات ولعاب القوارض، لكنه فيروس خطير حيث تصل معدل وفياته إلى 38%، وفقًا لمركز السيطرة على الأمراض.
وفي الغالب لا ينتقل HPS من شخص لآخر، في حين أن انتقال HFRS بين الأشخاص نادر للغاية، ويُعد التحكم في أعداد القوارض هو الاستراتيجية الأساسية للوقاية من عدوى فيروس هانتا Hantavirus.
